Рассчитать стоимость

Спокойный сон — здоровые зубки: как мы лечим детей без боли и слёз

Каждому родителю знакомо это чувство: малыш боится стоматолога, вы волнуетесь ещё больше и в итоге поход к врачу откладывается. А ведь кариес у детей развивается быстро, и одно маленькое «чёрненькое пятнышко» на зубике может превратиться в целую проблему. Что делать, если ребёнок категорически не даётся лечить зубы?
Рассказываем про лечение во сне и развеиваем страхи родителей.
Чтение статьи займет всего 3 минуты.
«Наркоз — это же вредно!», «Это крайняя мера…», «А если будут последствия».
Такие фразы мы слышим от родителей ежедневно. И это абсолютно нормально — доверить здоровье ребёнка врачу под седацией волнительно. Но давайте разберёмся, действительно ли этот страх обоснован.

Лечение во сне — это безопасно

Для лечения детей в стоматологии используется Севоран — препарат нового поколения, разрешённый к применению у малышей с первых дней жизни. Он мягко вводит в мекаментозный сон ребёнка и так же мягко «отпускает» его обратно в сознание сразу после завершения лечения.




Как работает Севоран:

  • Вводится через маску — без уколов и слёз

  • Не раздражает дыхательные пути
  • Быстро выводится из организма


  • Не вызывает привыкания и аллергии
  • Серьёзные побочные реакции встречаются менее чем в 0,01% случаев.


Зачем лечить во сне?

Представьте: вместо 3–4 мучительных визитов с истериками, ребёнок спокойно засыпает под контролем анестезиолога, просыпается — и у него больше нет больных зубов. Один визит — и вы свободны.

Это особенно важно, если:

  • У ребёнка 3 и более кариозных зуба
  • Малышу меньше 4 лет, и он боится врачей
  • У него есть неврологические особенности или повышенная тревожность

Почему нельзя откладывать лечение кариеса

По статистике, 8 из 10 родителей впервые приводят ребёнка к стоматологу уже с болью. А это — стресс, воспаления, иногда даже общее недомогание. Запущенный кариес молочного зуба или воспаление десны могут вызвать проблемы с формированием постоянных зубов. А если болезнь доберётся до зачатка коренного зуба — его можно потерять ещё до прорезывания.



Как проходит лечение зубов под Севораном: от А до Я

Подготовка:
  • Обследование и анализы: обычно это ОАК, ОАМ, коагулограмма, ЭКГ
  • Консультации педиатра и анестезиолога
  • Лёгкий ужин накануне, утром — без еды и воды. Более точные рекомендации мы даем индивидуально.

В день процедуры:





  • Ребёнок заходит в кабинет с родителем, надевает маску

  • Через 15 секунд засыпает
  • Стоматолог проводит лечение — время проведения индивидуально

  • После завершения наркоз прекращают
  • Ребёнок просыпается через 10–15 минут и через час может идти домой

Как выбрать стоматологию для лечения во сне — почему родители выбирают «Астродент»
Лечение под наркозом — это серьёзная медицинская процедура, и к выбору клиники стоит подходить с особым вниманием. Безопасность ребёнка зависит не только от профессионализма стоматолога, но и от качества оборудования, уровня подготовки анестезиологической бригады и соблюдения международных протоколов.
В «Астродент» мы сделали всё, чтобы родители могли доверить нам самое дорогое — здоровье своего ребёнка.
Безопасность на уровне международных стандартов

Во время процедуры ребёнок находится в медикаментозном сне, а команда специалистов под руководством опытного врача-анестезиолога-реаниматолога постоянно отслеживает жизненно важные показатели. Мы работаем по расширенному Гарвардскому протоколу, что обеспечивает максимальную безопасность на каждом этапе.
Мониторинг включает:
  • Артериальное давление
  • Электрокардиограмму в реальном времени
  • Функции дыхания: ритм и глубина
  • Температуру тела
  • Насыщение кислородом (SpO2)
  • Глубину наркоза (по технологии BIS-мониторинга)
  • Газовый состав вдыхаемой и выдыхаемой смеси (газовый мониторинг)
Все показатели анализируются в реальном времени, и врач может оперативно отреагировать на малейшие изменения.


Современное немецкое оборудование Dräger

Мы используем медицинскую технику от мирового лидера в области анестезиологии:
  • Наркозный аппарат Dräger Fabius Plus — обеспечивает точную подачу препарата и автоматическую вентиляцию лёгких.
  • Монитор пациента Vista 120 — отслеживает до 11 показателей, включая ЭКГ, давление, температуру и дыхание по нескольким каналам.
Все приборы проходят регулярную проверку и калибровку, а персонал клиники обучен работе с этим оборудованием.



Предусмотрено всё, даже то, что почти никогда не случается

Хотя осложнения при использовании Севорана случаются крайне редко (менее 0,01% случаев), в нашей клинике предусмотрено всё на случай малейших рисков.
В распоряжении анестезиолога находится препарат «Дантролен» (Германия) — современный антидот при злокачественной гипертермии, способный мгновенно остановить потенциально опасную реакцию организма.
Квалифицированная команда

  • Сертифицированные анестезиологи-реаниматологи с опытом работы в детской практике
  • Стоматологи, прошедшие подготовку по лечению под наркозом
  • Медсёстры-анестезисты и ассистенты, обученные по международным протоколам
Мы не просто «умеем» работать с детьми — мы делаем это ежедневно и бережно.

Преимущества лечения зубов во сне

  • Ребёнок не испытывает боли, страха и стресса
    Во сне малыш не чувствует боли и не пугается инструментов или звуков в кабинете.
    1
  • Можно вылечить все зубы за один приём
    Позволяет за один визит устранить кариес, провести чистку и другие необходимые процедуры.
    2
  • Постоянный контроль состояния ребёнка
    Во время сна за ребёнком следит опытная анестезиологическая бригада и современное оборудование.
    3
  • Быстрое пробуждение и восстановление
    После процедуры ребёнок просыпается спокойно и возвращается к обычному ритму уже в этот день.
    4
  • Отсутствие негативных воспоминаний о стоматологе
    Лечение проходит без стресса — ребёнок не боится последующих визитов и легче адаптируется.
    5
Запишитесь на консультацию в «Астродент» — и пусть лечение зубов станет лёгким, как сон.
Мы за детскую стоматологию без боли и стресса — уже 13 лет!

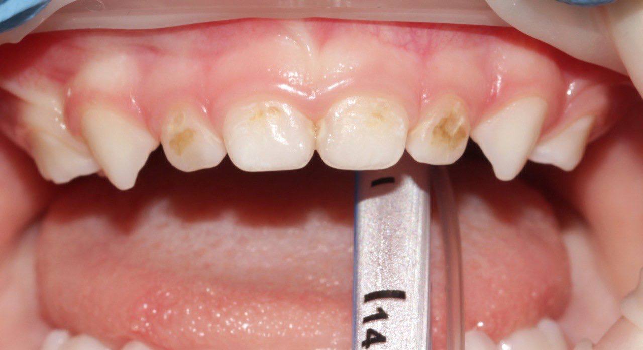
Лечение зубов во сне детям: до и после

До до
После результат

Проблема

Кариес жевательных и передних молочных зубов

Решение

Вылечили кариес, поставили коронки, выполнили реставрацию передних зубов - зубки, как новые!

До до
После результат

Проблема

Кариес передних молочных зубов

Решение

Вылечили кариес, выполнили художественную реставрацию зубов

Записаться
на консультацию
Оставьте заявку на бесплатную консультацию врача-стоматолога

Стоматологи-ортодонты

Наши клиники

в Ростове-на-Дону
Стоматология в Александровке
пр-кт 40-летия Победы, 212
Стоматология в Таганроге
ул. Чехова 262
Стоматология в Таганроге
ул. С. Лазо, 9
Стоматология в центре
пр-кт Кировский,126
Стоматология на Северном
пр-кт Космонавтов, 14Б
Стоматология на Западном
пр-кт. Стачки, 55
в Таганроге