Рассчитать стоимость

Шамахаева Сауле Асламбековна

Стоматолог-терапевт
Опыт работы 2 года
Принимает
в «Астродент» на Кировском
Издательство " Тильда "
создайте свой собственный блок с нуля

Шамахаева Сауле Асламбековна — врач-стоматолог терапевт, внимательный специалист с деликатным подходом к каждому пациенту. Проводит художественную реставрацию зубов, лечит кариес, пульпит и периодонтит, выполняет профессиональную гигиену полости рта и отбеливание. Сауле Асламбековна работает аккуратно и бережно, стремясь не только восстановить здоровье зубов, но и подарить пациенту уверенность в своей улыбке.

Первичный прием и консультация - 0 рублей!

2023 — Волгоградский Государственный Медицинский Университет "Стоматология"

Дипломы и сертификаты

Отзывы пациентов
  • Была на приеме с дочкой, лечили 2 молочных зуба. Сауле Асламбековна была очень внимательна и добра к ребенку. Дочка не хотела уходить со стоматологии​. Спасибо за профессионализм и за внимательное отношение к ребенку!
  • Были на приеме с моей старшей дочерью. Регулярно делаем профессиональную гигиену полости рта. Очень довольны оказанной услугой. Прием был полноценным. Отмечу подробные рекомендации для домашнего ухода. Доктор грамотная и внимательная. Благодарю за блестящий результат. Рекомендую.

    Пациент +7 938 12XXXXX
  • Уважаемая Сауле Асламбековна, как же я бесконечно благодарна, что меня записали именно к Вам! 🙏🙏🙏🙏 Вы профессионально и с чутким вниманием поставили новенькую пломбу, параллельно санировав полость рта на предмет наличия кариеса​ на других зубах. Вами даны все рекомендации, спасибо Вам! 💖 Особо хочу отметить ее улыбку и добродушное настроение к пациентам и к коллегам.

    Пациент +7 900 13XXXXX
Работы
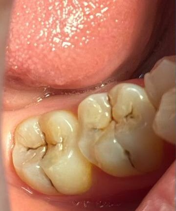
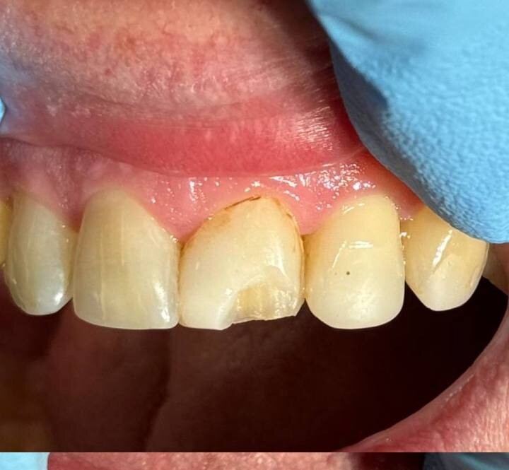
До до
После результат

Проблема

Глубокий кариес по второму классу

Решение

Изоляция,препарирование,реставрация зуба

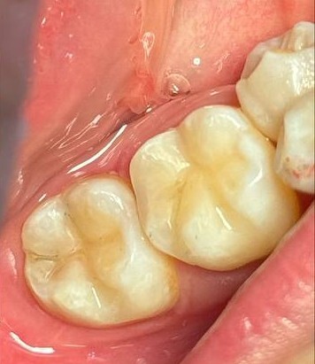
До до
После результат

Проблема

Кариес по первому классу Жалобы на реакцию зубов от химических раздражителей(сладкого)

Решение

Препарирование тканей пораженных кариозным процессом Реставрация зубов композитными пломбировочными материалами

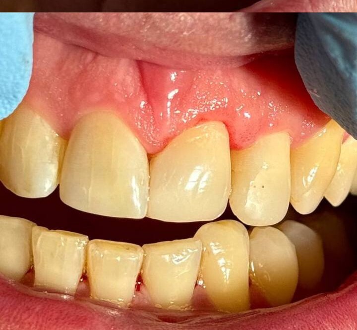
До до
После результат

Проблема

Скол зуба и кариес в придемневой области по 5 классу

Решение

Реставрация зуба

Давайте подберем удобное время приема?
При первом обращении вы получаете панорамный снимок, консультацию специалиста и индивидуальный план лечения в подарок!
Другие специалисты клиники: